 |
画像 1 検診で右中下肺野の異常陰影を指摘。同一視点から肺と骨性胸郭を分離して表示した。
肺内病変なく右肋骨に骨折痕。
|
 |
画像 2 膀胱癌からの肺転移例。Ray summation法というエックス線透視像をシミュレートした
手法で,三次元処理して平行法ステレオ像として表示した。塊状の病巣の広がりの状態や
気管支への侵襲,質の異なる病巣の広がりが示現されている。
|
 |
画像 3 上段左は膵体部の嚢胞性病変。右は右水腎症及び後腹膜線維症疑い。
下段左右は同一症例で上行結腸憩室炎及び背側を上行する虫垂をとらえたもの。
Voxel transmission法で処理後前腹壁から切削。
|
 |
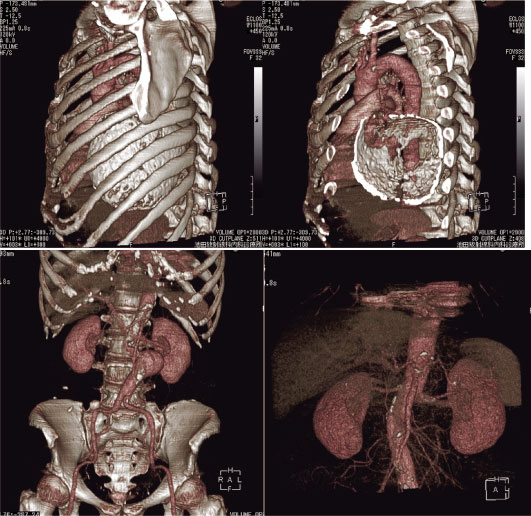
画像 4 上段は被包石灰化した嚢胞。右は切削像。下段左,腹部大動脈瘤。
右膵臓癌(脾動脈に著明な広狭不整を認める)。
|
 |
画像 5 左列は大腸ファイバー像/右列は仮想内視鏡画像
仮想内視鏡画像はCruising Eye View法という内腔を自動的に描出する手法に
より,消化管のみならず血管内腔や気管支内腔の表示も極短時間で行える。
|